× Home Über uns Team Leistungen Galerie Bewertungen Karriere Kontakt
menü
Dental Atelier Colonia Pfeil nach unten

feinfühlig

präzise

naturgetreu

Über uns

Ästhetik liegt im Auge des Betrachters.
Detail im Auge des Künstlers.

Wir, das Dental Atelier Colonia, möchten uns vorstellen.

Unser Beruf erfordert nicht nur handwerkliches Geschick, sondern auch ein ästhetisches Auge und eine Liebe zum Detail. Jedes Werkstück, das aus unseren Händen kommt, ist ein individuelles Kunstwerk, das den Patienten ein strahlendes Lächeln und ein neues Selbstbewusstsein schenkt.

In der Verbindung von Ästhetik und Zahntechnik mit der Natur, liegt die wahre Magie unserer Berufung. Wir schaffen nicht nur schöne Zähne, sondern tragen dazu bei, die Natürliche Schönheit und das Wohlbefinden unserer Patienten zu fördern.

Durch den Einsatz modernster Materialien und Techniken können wir heute nahezu unsichtbare Restaurationen schaffen, die das Natürliche und die Funktion der Zähne perfekt imitieren.

Wir nutzen biokompatible Materialien, um sicherzustellen, dass Ihre Arbeit nicht nur ästhetisch ansprechend, sondern gesundheitlich unbedenklich ist. Der Schlüssel zum Erfolg. Das Dreier Team,
Patient-Zahnarzt-Zahntechniker.

Wir, Ihr Partner in Ihrer Zahnarztpraxis, für ein Lächeln unserer Mitmenschen.

Jetzt Kontakt aufnehmen

Sie haben Fragen? Dann melden Sie sich bei uns

0221 - 7 15 97 31
Team

Für Ihre Bedürfnisse stehen wir bereit

Wir, das Team der Dental Atelier Colonia GmbH, arbeiten eng zusammen, um Ihnen hochwertige zahntechnische Restaurationen und eine positive Erfahrung in unserem Labor zu bieten. Wir legen großen Wert auf eine persönliche Betreuung und möchten Ihre individuellen Bedürfnisse und Wünsche erfüllen. Wir wollen uns stetig verbessern und das geht nur mit Ihrer Hilfe. Geben Sie uns gerne eine Bewertung, wir freuen uns von Ihnen zu hören.

Zögern Sie nicht, uns bei Fragen oder Anliegen zu kontaktieren - wir sind für Sie da!

Roda Ates

Roda Ates

Zahntechnikermeister / Geschäftsführung (individuelle Frontzahnästhetik und CAD/CAM)

> Referenz Artikel  |  > Lebenslauf
Lioba Zimmermann

Lioba Zimmermann

Zahntechnikerin (CAD/CAM und Keramik)
Laborleiterin

Konrad Mateusz Malesa

Konrad Mateusz Malesa

Zahntechniker (CAD/CAM und Teleskoptechnik)

Kerstin Fischer

Kerstin Fischer

Zahntechnikerin (Kunststofftechnik und Composite Verblendtechnik)

Murat Tapar

Murat Tapar

Zahntechniker (Schienentherapie, CAD/CAM, Teleskoptechnik)

Annika Marie Boltersdorf

Annika Marie Boltersdorf

Auszubildende Zahntechnikerin

Alialp Uysal

Alialp Uysal

Auszubildender Zahntechnik

Dirk Jeschke

Dirk Jeschke

Kurier (Arbeitsvorbereitung und Kurier)

Erol Celik

Erol Celik

Kurier

Leistungen

Unsere Leistungen für Sie

Ästhetikanalyse

Ästhetikanalyse

mehr erfahren
Individuelle Vollkeramikkronen

Individuelle
Vollkeramikkronen

mehr erfahren
Individuelle Frontzahnästhetik und Vollkeramikkronen

Individuelle Frontzahnästhetik

mehr erfahren
Teleskoptechnik

Teleskoptechnik (in Gold oder
Gold reduziert, NEM, Zirkon/Galvano
oder komplett Metallfrei)

mehr erfahren
Schienentherapie

Schienentherapie

mehr erfahren
Totale Prothesen

Totale Prothesen

mehr erfahren
Flexible Prothesen

Flexible Prothesen

mehr erfahren
Individuelle Implantat Prothetik

Individuelle Implantat
Prothetik

mehr erfahren
Implantatplanung

Implantatplanung

Monolithische Zirkonkronen

Monolithische Zirkonkronen

mehr erfahren
Inlays und Veneers

Inlays und Veneers

mehr erfahren
Materialien

Materialien

mehr erfahren
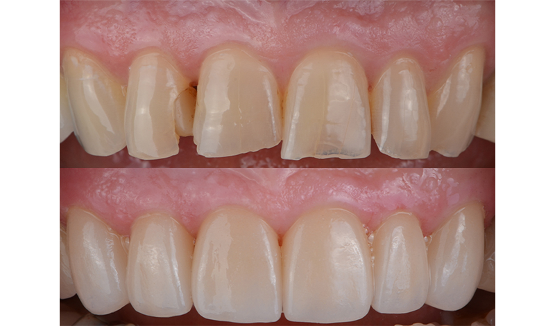
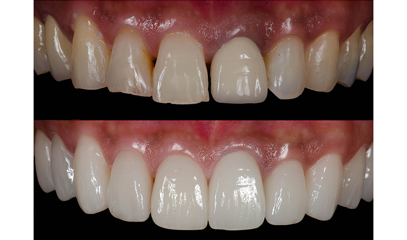
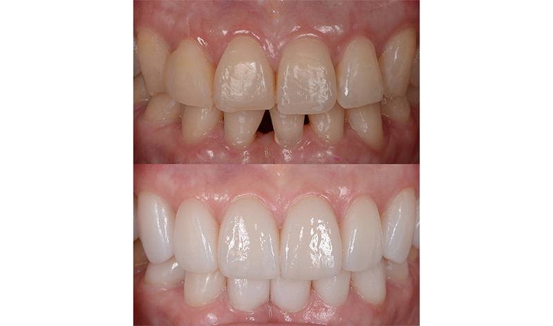
Galerie

Überzeugen Sie sich von unserer Arbeit

Bewertungen

Ihre Meinung zählt

Wir wollen uns stetig verbessern, das geht nur mit Ihrer Hilfe. Geben Sie uns gerne eine Bewertung, wir freuen uns von Ihnen zu hören.

Bewerten Sie uns jetzt